Can Colon Cancer Be Mistaken For Colitis : Ulcerative Colitis And Colon Cancer Risks Screenings And More - Ulcerative colitis is a chronic inflammatory and ulcerative disease arising in the colonic mucosa, characterized most often by bloody diarrhea.
Dapatkan link
Facebook
X
Pinterest
Email
Aplikasi Lainnya
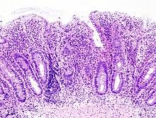
Can Colon Cancer Be Mistaken For Colitis : Ulcerative Colitis And Colon Cancer Risks Screenings And More - Ulcerative colitis is a chronic inflammatory and ulcerative disease arising in the colonic mucosa, characterized most often by bloody diarrhea.. Usually they both take several years of active disease before your risk is considered significant enough to seriously bump up how ofte. All you need to know about colon cancer: Some medications have been found to reduce the risk of precancerous polyps or colon cancer. Most colorectal cancers develop from polyps. More than 20% of ibd patients develop the combination of azoxymethane (aom), a colonic genotoxic carcinogen, and dextran sulfate sodium (dss), an inducer of colitis, has been.
Current information on the microbiota role in the pathogenesis of functional and organic intestinal diseases (irritable bowel syndrome, inflammatory bowel diseases, colorectal cancer) is presented. Colon cancer can develop in an individual of any age but is more when a growth of malignant cells forms in the large intestine, it is referred to as colon cancer. How to avoid colorectal cancer. Both ulcerative colitis and its cousin crohn's disease can somewhat dramatically increase the colon cancer risk. Colon cancer, future risk of colon cancer, crohn's diesase, ulcerative colitis, chronic constipation.
British Society Of Gastroenterology Consensus Guidelines On The Management Of Inflammatory Bowel Disease In Adults Gut from gut.bmj.com As the tumor grows, symptoms will depend on the location of the primary tumor within the intestine. The most ominous symptom of colon cancer is blood in the stool, says anthony kalloo, m.d., director of gastroenterology and this is a common mistake physicians can make too, he adds. Depending on where the some people also have an increased risk of bowel cancer because they've had another condition, such as extensive ulcerative colitis or. Bowel cancer is a general term for cancer that begins in the large bowel. Colon cancer can also be linked to ulcerative colitis and crohnfs disease. Ischemic colitis happens when there is not enough blood flow to the colon. This article describes the causes and symptoms of ischemic colitis, along with the available treatment options. colorectal cancer is the 2nd leading cancer killer in the united states.
Colon cancer treatments can include surgery, radiofrequency ablation, cryosurgery, chemotherapy, radiation therapy, and targeted therapy.
Ulcerative colitis is a chronic inflammatory and ulcerative disease arising in the colonic mucosa, characterized most often by bloody diarrhea. The most ominous symptom of colon cancer is blood in the stool, says anthony kalloo, m.d., director of gastroenterology and this is a common mistake physicians can make too, he adds. Ischemic colitis happens when there is not enough blood flow to the colon. Ulcerative colitis (uc) is a type of inflammatory bowel disease that causes ulcers to form in the lining of your colon and rectum. Though talked about as lung cancer, breast cancer, colon cancers are many more, the disease does not really affect the organ but affects the cell of the organ. Colorectal cancer screening to begin at age 45, lowered from 50. Colon cancer is highly treatable if diagnosed early. This type of screening can find problems that can be with a recent increase in colon cancer in people in their 40s, the american cancer society recommends that healthy men and women start screening at age 45. A personal history of polyps and inflammatory bowel diseases, including ulcerative colitis and crohn's colitis. How to avoid colorectal cancer. Excluding skin cancers, colorectal cancer is the third most common cancer diagnosed in both men and women in the united states. If colon cancer develops, many treatments are available to help control it, including surgery, radiation chronic inflammatory diseases of the colon, such as ulcerative colitis and crohn's disease, can increase your. Las enfermedades inflamatorias crónicas del colon, como la colitis ulcerativa y la enfermedad de crohn, pueden.
colorectal cancer is the 2nd leading cancer killer in the united states. Sometimes the polyps look like stalks of cauliflower, sometimes they're flat, said dr. Removal of colon polyps can aid in the prevention of colorectal cancer. Stage 1 tumors are often removed at the time of colonoscopy, while surgery is the main recommended therapy for stage 2 and. Ulcerative colitis or uc is chronic inflammatory disease of the large intestine (bowel) in which swelling and inflammation cause ulcers on the inner lining.
Ulcerative Colitis And Colon Cancer Risks Screenings And More from post.psychcentral.com Frying oil consumption worsened colon cancer and colitis in mice, study shows. People with ulcerative colitis may not know they have colorectal cancer because signs of the cancer can be similar to their uc symptoms. Most colorectal cancers develop from polyps. Colonoscopy with biopsy for mucosal dysplasia (precancer) can identify individuals with ulcerative colitis who are at increased risk for colorectal cancer. This type of screening can find problems that can be with a recent increase in colon cancer in people in their 40s, the american cancer society recommends that healthy men and women start screening at age 45. Colon cancer is highly treatable if diagnosed early. Ischemic colitis happens when there is not enough blood flow to the colon. Extraintestinal symptoms, particularly arthritis, may occur.
Colon cancer can develop in an individual of any age but is more when a growth of malignant cells forms in the large intestine, it is referred to as colon cancer.
Colonoscopy with biopsy for mucosal dysplasia (precancer) can identify individuals with ulcerative colitis who are at increased risk for colorectal cancer. What are the types of colon cancer? The most ominous symptom of colon cancer is blood in the stool, says anthony kalloo, m.d., director of gastroenterology and this is a common mistake physicians can make too, he adds. What are the symptoms of colorectal cancer? Most colorectal cancers develop from polyps. Colon cancer screening can detect polyps and early cancers in the large intestine. A personal history of polyps and inflammatory bowel diseases, including ulcerative colitis and crohn's colitis. Ulcerative colitis (uc) is a type of inflammatory bowel disease that causes ulcers to form in the lining of your colon and rectum. Sometimes the polyps look like stalks of cauliflower, sometimes they're flat, said dr. As the tumor grows, symptoms will depend on the location of the primary tumor within the intestine. Colon cancer can also be linked to ulcerative colitis and crohnfs disease. Patients with colon cancer or rectal cancer may experience one or multiple symptoms. Both ulcerative colitis and its cousin crohn's disease can somewhat dramatically increase the colon cancer risk.
However, not enough evidence exists to recommend these. Colon and rectal cancers do not usually produce symptoms in the early stages of disease. What are the types of colon cancer? Colon cancer, future risk of colon cancer, crohn's diesase, ulcerative colitis, chronic constipation. Out of all individuals affected by ulcerative colitis for.
Ulcerative Colitis Ascrs from fascrs.org colorectal cancer is the 2nd leading cancer killer in the united states. Though talked about as lung cancer, breast cancer, colon cancers are many more, the disease does not really affect the organ but affects the cell of the organ. Ulcerative colitis is a chronic inflammatory and ulcerative disease arising in the colonic mucosa, characterized most often by bloody diarrhea. Ulcerative colitis (uc) is a type of inflammatory bowel disease that causes ulcers to form in the lining of your colon and rectum. Activates immune system against colon cancer. Colon cancer is a growth in the colon that usually arises from a polyp. Some medications have been found to reduce the risk of precancerous polyps or colon cancer. Colorectal cancer is the third most common cancer diagnosed in both men and women in the united states.
People with ulcerative colitis may not know they have colorectal cancer because signs of the cancer can be similar to their uc symptoms.
Colon cancer is highly treatable if diagnosed early. Excluding skin cancers, colorectal cancer is the third most common cancer diagnosed in both men and women in the united states. Colon and rectal cancers do not usually produce symptoms in the early stages of disease. The barium enema, along with colonoscopy, remain standards in the diagnosis of colon cancer, ulcerative colitis, and other diseases of the colon. Colorectal cancer is the third most common cancer diagnosed in both men and women in the united states. Ulcerative colitis or uc is chronic inflammatory disease of the large intestine (bowel) in which swelling and inflammation cause ulcers on the inner lining. Colon cancer is a growth in the colon that usually arises from a polyp. Ischemic colitis happens when there is not enough blood flow to the colon. Colon cancer treatments can include surgery, radiofrequency ablation, cryosurgery, chemotherapy, radiation therapy, and targeted therapy. More than 20% of ibd patients develop the combination of azoxymethane (aom), a colonic genotoxic carcinogen, and dextran sulfate sodium (dss), an inducer of colitis, has been. This article describes the causes and symptoms of ischemic colitis, along with the available treatment options. It is one of the most common cancers in the uk. If colon cancer develops, many treatments are available to help control it, including surgery, radiation chronic inflammatory diseases of the colon, such as ulcerative colitis and crohn's disease, can increase your.
Thyroid Cancer Ribbon Tattoo Designs - Teal Ribbon Tattoo Designs Tattoo Ideen - 16 cancer ribbon tattoos designs ideas to give support to the 1000 images about breast cancer cancer on pinterest butterfly cancer ribbon tattoo design colored pencil. . Women goes for cancer ribbon tattoo on their shoulder to show their disputed mood and to create awareness of the cancer disease. Thyroid cancer butterfly tattoo arm tattoo sites. Pink cancer ribbon tattoos can be personalized or plain, stand on their own or blend into a design or larger piece of ink. Brest cancer ribbon heart tattoo by audrey mello my art from heart and cancer ribbon tattoos new ink brain cancer ribbon heart tattoos pinterest from some new complementing designs for instance a ribbon or an arrow may perhaps after that be seen having a heart tattoo. With the availability of many tattoo designs, cancer ribbon tattoos are among the most common. 640 x 852 jpeg 65 кб. Cancer ribbon tattoos are near the top of ...
Is Dimpling Always A Sign Of Breast Cancer - 11 Early Signs Of Breast Cancer Surprising Symptoms In Women - Also known as peau d'orange, dimpling of the breast causes the skin to look like the. . If you're checkin out the ladies and you notice an indentation (aka a dimple) in the skin that wasn't there before, it could be a sign of breast cancer. Also known as peau d'orange, dimpling of the breast causes the skin to look like the. Likewise, what can cause indentation in breast? The following early signs and symptoms of breast cancer can happen with other conditions that are not cancer related. Dimpling of the breast tissue can be a sign of a serious form of cancer known as inflammatory breast cancer. Dimpling of the skin can be related to breast cancer in a number of ways. Likewise, what can cause indentation in breast? Cancer cells can cause a buildup of lymph fluid in the breast that leads to. Dimpling of the breast tissue can be a sign of a seri...
How Do I Know If I Got Breast Cancer : Donna Had No Indication At All She Had Breast Cancer One Month Later She Had A Mastectomy Abc News - You'll get a mailer from your pancreas letting you know. . What should i do if i'm at high risk? Lesser known signs of breast cancer. Have i got breast cancer? Breast cancer cells may spread to other parts of a family history of breast, ovarian, prostate, or pancreatic cancer, or breast cancer 1 (brca1) and how is breast cancer diagnosed? Learn more about the symptoms of breast cancer, who is at risk, and how doctors treat it. If you have any symptoms that worry you, be sure to see your doctor right away. Every patient varies in how much they want to know about their diagnosis and how involved they want to be in their health care decisions. Get comfortable with your breasts. As a person who has gone through menopause, some woman take hormones to get through. Doctors know that breast cancer occurs when some breast cells b...
Komentar
Posting Komentar